こんにちは。
新潟市中央区・からさわ歯科医院 院長の唐澤です。
今回は、当院で行ったオフィスホワイトニングの症例紹介です。
ホワイトニングをご検討中の方の参考になればと思います。
■ 症例情報
- 治療名
オフィスホワイトニング - 治療内容
歯科医院内で薬剤を塗布し、専用ライトを照射して歯を白くする治療です。 - 患者さま
31歳・男性 - 主訴
加齢による歯の黄ばみが気になっていた - 術前の状態
年齢も若く、色素沈着は比較的浅い状態でした。
大きな補綴物もなく、ホワイトニングの適応としては良好なケースでした。 - 施術回数・期間
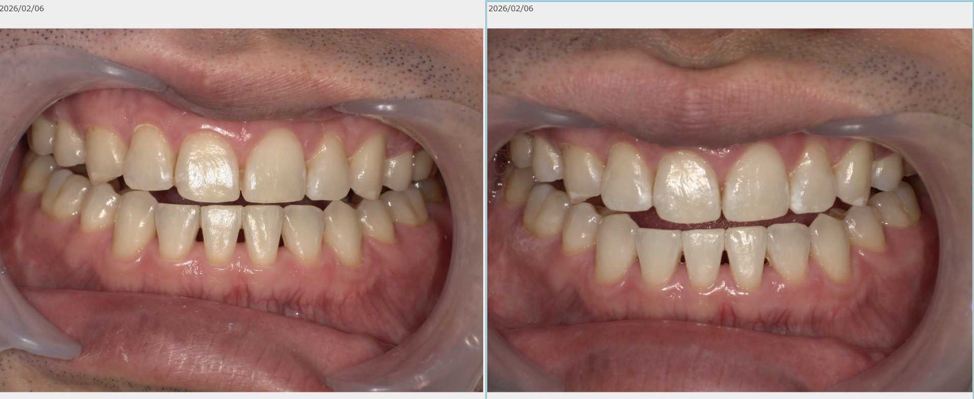
3回(1回あたり約90分)- 1回目:2月3日
- 2回目:2月6日
- 3回目:2月10日
- 費用
44,000円(税込)/1回
■ 初回〜3回目の比較


今回の症例では、1→2回目で2段階、2→3回目で1段階明るくなりました。
合計3回でシェードが3段階明るくなりました。
もともと色素沈着が浅かったため、極端な変化ではなく、自然なトーンアップという印象です。
ホワイトニングは「真っ白にする治療」ではなく、
その方の歯質の範囲内で明るさを改善していく治療です。
■ 経過について
年齢が若いこともあり2→3回目の施術でもオフィスホワイトニングの効果でさらに明るくなりました。
ホームホワイトニングと併用することでより明るく長持ちさせることができます。
ただ回数を重ねれば必ず白くなるわけではなく歯質や着色の原因によって限界はあります。
■ 副作用・リスクについて
オフィスホワイトニングには、以下の可能性があります。
- 一時的な知覚過敏が出ることがある
- 効果には個人差がある
- 後戻りが起こる場合がある
また、被せ物や詰め物は白くなりません。
必要に応じて再治療を検討することもあります。
■ 歯科医師としての見解
今回のように、
- 若年
- 着色が浅い
- 補綴物が少ない
といった条件が揃うと、比較的安定した効果が得られやすい傾向があります。
一方で、重度の変色やテトラサイクリン歯などは改善に限界があります。
その場合は他の審美治療を検討することもあります。
ホワイトニングは適応を見極めることが重要です。
■ 写真について
※治療効果には個人差があります
※同様の結果を保証するものではありません
ホワイトニングをご検討中の方は、まずは診査を受けていただき、適応や必要回数についてご相談ください。
無理に施術をおすすめすることはありません。